پیدا کردن هرگونه برآمدگی، توده یا ضایعه ناشناخته در داخل دهان، لب یا روی زبان میتواند بسیار نگرانکننده باشد. اولین واکنش، جستجو در اینترنت است و اغلب، اولین نتایج به کلمات ترسناکی مانند «HPV» و «سرطان» میرسد.
شما احتمالاً از عبارت «زگیل دهانی خفیف» استفاده کردهاید، به این امید که مشکل جدی نباشد! اما واقعیت این است که «زگیل دهانی» چه خفیف باشد چه شدید، تقریباً همیشه ناشی از ویروس HPV است و تشخیص دقیق آن از سایر ضایعات مشابه (مانند گوشت اضافه یا آفت) برای درمان صحیح، حیاتی است. در این راهنمای کامل، ما به تمام سوالات شما، از علائم تا تفاوتها به همراه عکس، پاسخ خواهیم داد.
زگیل دهانی خفیف چیست؟
اصطلاح «زگیل دهانی خفیف» یک توصیف عمومی است، نه یک تشخیص پزشکی. منظور از «خفیف» معمولاً کوچک بودن، بدون درد بودن و عدم خونریزی ضایعه است. از نظر پزشکی، این ضایعات معمولاً به دو دسته اصلی تقسیم میشوند:
۱-پاپیلوما (Squamous Papilloma): شایعترین نوع زگیل دهانی. یک توده خوشخیم (غیرسرطانی) که توسط انواع کمخطر HPV ایجاد میشود.
۲-ورکا ولگاریس (Verruca Vulgaris): این همان زگیل معمولی دست است که میتواند از طریق تماس دست با دهان (مثلاً در کودکان) به دهان منتقل شود.
۳-کوندیلوما (Condyloma Acuminatum): این همان «زگیل تناسلی» است که از طریق تماس جنسی دهانی منتقل شده و در دهان رشد میکند.
عکس زگیل دهانی خفیف
آیا زگیل دهانی خفیف همان HPV دهان است؟
پاسخ کوتاه: بله.
تقریباً تمام زگیلهای واقعی (پاپیلوماها) در هر کجای بدن، توسط ویروس پاپیلومای انسانی (Human Papillomavirus) یا HPV ایجاد میشوند. زگیل دهانی نیز از این قاعده مستثنی نیست. بیش از ۱۵۰ نوع HPV وجود دارد. نوع HPV که باعث زگیل دهانی خوشخیم میشود (معمولاً تیپهای ۶ و ۱۱) با تیپهای پرخطری که باعث سرطان دهانه رحم یا گلو میشوند (مانند تیپ ۱۶ و ۱۸) متفاوت است.
ویژگیهای زگیل معمولی در دهان
جستجوی «تصویر زگیل تناسلی در دهان» میتواند گیجکننده باشد، زیرا این ضایعات میتوانند اشکال مختلفی داشته باشند. اما ویژگیهای مشترک آنها عبارتند از:
ظاهر: برجسته، گوشتی
بافت: اغلب ظاهری شبیه به «گل کلم» (Cauliflower-like) یا «انگشتی» (Finger-like projections) دارند.
رنگ: معمولاً همرنگ مخاط دهان (صورتی کمرنگ) یا کمی سفیدتر هستند.
احساس: بدون درد، سفت (برخلاف تاول که نرم است) و معمولاً تکی هستند (اگرچه ممکن است چندتایی هم باشند).
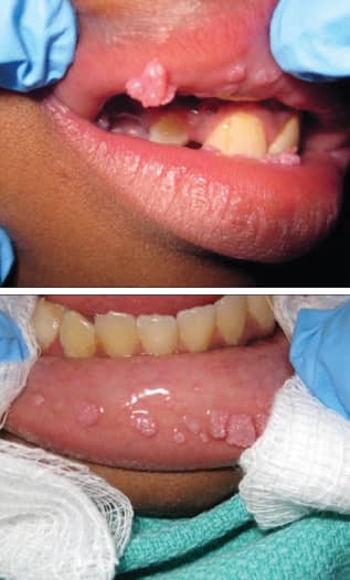
عکس زگیل زبان و زیر زبان
شایعترین محل ایجاد زگیل دهانی، زبان و زیر زبان است. به صورت یک برآمدگی کوچک، زبر و بدون درد در سطح رویی، کنارهها یا زیر زبان ظاهر میشود. اگر زیر زبان باشد (زگیل تناسلی زیر زبان)، ممکن است به دلیل رطوبت دائمی، سفیدتر به نظر برسد.
-عکس زگیل تناسلی روی زبان:

عکس زگیل لب
معمولاً در سطح داخلی لب (مخاط خیس) یا در گوشه لبها دیده میشود. اگر روی قرمزی خود لب باشد، ممکن است شبیه به زگیل معمولی پوست به نظر برسد.
-عکس زگیل لب:

عکس زگیل سقف دهان (Palate)
سقف دهان (کام نرم یا سخت) محل بسیار شایعی برای پاپیلوماهای خوشخیم است. این ضایعات معمولاً پایهدار (Pedunculated) هستند، یعنی یک ساقه باریک دارند و یک سر شبیه به گل کلم
-عکس زگیل سقف دهان:

عکس زگیل تناسلی در گلو
این مورد جدیتر است و کمتر شایع است. وجود HPV در گلو میتواند باعث ایجاد زگیلهایی روی لوزهها یا در حلق شود. علائم آن شامل احساس «گیر کردن چیزی در گلو»، تغییر صدا یا سرفه مزمن است. این ضایعات معمولاً با چشم غیرمسلح قابل مشاهده نیستند و نیاز به بررسی توسط متخصص گوش، حلق و بینی (ENT) دارند.
-عکس زگیل تناسلی در گلو:

تفاوت آفت (Canker Sore) با زگیل دهانی

-آفت: یک زخم (Ulcer) است، نه یک برآمدگی. آفتها گود، گرد، سفید یا زرد با حاشیه قرمز روشن هستند. آفتها بسیار دردناک هستند.
-زگیل دهانی: یک برآمدگی (Growth) است. برجسته و گوشتی است. زگیلها معمولاً بدون درد هستند.
فرق گوشت اضافه (Fibroma) با زگیل دهانی خفیف

گوشت اضافه یا فیبروم تروماتیک شایعترین برآمدگی در دهان است و اغلب با زگیل اشتباه گرفته میشود. گوشت اضافه یک واکنش به آسیب مزمن است (مثلاً گاز گرفتن مکرر گونه یا لب). این ضایعه ویروسی (HPV) نیست. ظاهر گوشت اضافه معمولاً صاف، گنبدی شکل، نرم و همرنگ مخاط است. در مقابل زگیل ظاهری ناهموار، زبر و شبیه گل کلم دارد.
فرق قارچ (Thrush) با زگیل تناسلی دهانی

-قارچ یا برفک دهان یک عفونت قارچی است. به صورت پوشش یا لکههای سفید پنیری روی زبان، گونهها و لثه ظاهر میشود. قارچ را میتوان با گاز استریل یا مسواک خراشید و پاک کرد (که سطح زیرین آن قرمز و ملتهب میشود). اما زگیل یک توده جامد است و به هیچ وجه قابل پاک کردن نیست.
فرق تبخال (Cold Sore) و زگیل دهانی

تبخال ناشی از ویروس HSV (نه HPV) است. ظاهر تبخال به صورت خوشهای از تاولهای کوچک و پر آب شروع میشود. تبخال با سوزش، خارش و درد همراه است. سپس تاولها میترکند، زخم میشوند و دلمه میبندند (مخصوصاً اگر روی لب باشد). در مقابل، زگیل یک توده گوشتی جامد و تکی است، تاول ندارد و دردناک نیست.
جدول مقایسه سریع ضایعات دهانی
| ویژگی | زگیل دهانی (HPV) | آفت (Canker Sore) | گوشت اضافه (Fibroma) | قارچ (Thrush) | تبخال (Herpes) |
| نوع ضایعه | برآمدگی (توده) | زخم (گود) | برآمدگی (توده) | پوشش (لایه) | تاول (خوشهای) |
| ظاهر | شبیه گل کلم، زبر | گرد، سفید با هاله قرمز | صاف، گنبدی، نرم | پنیری، سفید | تاولهای ریز و پر آب |
| درد | معمولاً بدون درد | بسیار دردناک | بدون درد | گاهی سوزش | درد و سوزش |
| ویروسی؟ | بله (HPV) | خیر | خیر (ناشی از آسیب) | خیر (قارچی) | بله (HSV) |
| مسری؟ | بله | خیر | خیر | خیر | بسیار مسری |
| قابل پاک شدن؟ | خیر | خیر | خیر | بله | خیر (میترکد) |
برای زگیل دهانی به چه دکتری مراجعه کنیم؟
اگر متوجه هرگونه ضایعه، برآمدگی یا زگیل در دهان خود شدهاید، اقدام نکنید (سعی نکنید آن را بکنید یا بسوزانید) و حدس نزنید. تشخیص قطعی ضایعات دهانی نیاز به تخصص دارد. بهترین متخصص برای این کار، یکی از موارد زیر است:
۱-متخصص بیماریهای دهان، فک و صورت: این بهترین و تخصصیترین گزینه است. این متخصصین دقیقاً برای تشخیص و درمان بیماریهای مخاط دهان (مانند آفت، قارچ، زگیل، ضایعات پیش-سرطانی) آموزش دیدهاند.
۲-دندانپزشک عمومی: دندانپزشک شما اولین خط دفاعی است. او میتواند معاینه اولیه را انجام دهد و اغلب ضایعات خوشخیم مانند فیبروما را تشخیص دهد یا شما را به متخصص مناسب ارجاع دهد.
۳-متخصص گوش، حلق و بینی (ENT): اگر ضایعه در انتهای زبان، حلق یا روی لوزهها باشد، این متخصص بهترین گزینه است.
۴-متخصص پوست: اگر زگیل روی قسمت خارجی لبها باشد.
نتیجهگیری:
نگران بودن طبیعی است، اما تشخیص قطعی، کلید آرامش و درمان است. یک متخصص به راحتی میتواند تفاوت بین یک «گوشت اضافه» بیخطر و یک «زگیل» ویروسی را تشخیص دهد و بهترین روش درمانی (معمولاً برداشتن ساده و سرپایی) را پیشنهاد دهد.
درمان زگیل دهانی خفیف
درمان «زگیل دهانی خفیف» (پاپیلوما یا وروکا) معمولاً ساده و بسیار مؤثر است. برخلاف تصور، درمانهای خانگی در اینجا تقریباً هیچ جایگاهی ندارند و میتوانند خطرناک باشند. هدف از درمان، «حذف فیزیکی» ضایعه است.

۱-جراحی زگیل دهانی
در این روش ناحیه مورد نظر با تزریق یک ماده بیحسی (دقیقاً مانند بیحسی دندانپزشکی) کاملاً بیحس میشود. شما مطلقاً هیچ دردی حس نخواهید کرد. سپس متخصص با استفاده از ابزار جراحی بسیار ظریف، ضایعه را به طور کامل از پایه آن برش داده و خارج میکند. محل برش، بسته به اندازه، ممکن است به یک یا دو بخیه قابل جذب نیاز داشته باشد یا اصلاً نیازی به بخیه نداشته باشد.
ضایعهای که برداشته میشود، دور انداخته نمیشود. بلکه برای آزمایشگاه پاتولوژی فرستاده میشود. این کار به ما تشخیص ۱۰۰٪ قطعی میدهد که این ضایعه یک زگیل خوشخیم (پاپیلوما) بوده و نه چیز مشکوک دیگری.
۲-لیزر زگیل دهانی
یک گزینه مدرن دیگر، استفاده از لیزر (مانند لیزر CO2 یا Er:YAG) است. پس از بیحسی موضعی، پزشک با تاباندن اشعه لیزر، بافت زگیل را به سادگی «تبخیر» میکند و از بین میبرد.
این روش معمولاً خونریزی ندارد (چون لیزر همزمان رگها را میبندد) و اغلب نیازی به بخیه نیست. در این روش، بافتی برای ارسال به پاتولوژی باقی نمیماند. به همین دلیل، متخصص ممکن است ترجیح دهد ابتدا بخش کوچکی را برای بیوپسی بردارد یا اگر ۱۰۰٪ از خوشخیم بودن آن مطمئن باشد، مستقیماً از لیزر استفاده کند.
۳-کرایوتراپی (فریز کردن یا سرما درمانی)
پزشک با استفاده از نیتروژن مایع، زگیل را منجمد میکند. این انجماد باعث مرگ سلولهای ضایعه شده و پس از چند روز میافتد. این روش برای زگیلهای پوستی (مانند روی دست) فوقالعاده است، اما استفاده از آن در محیط مرطوب و حساس دهان دشوارتر است و کنترل عمق انجماد سختتر است. معمولاً برای ضایعات دهانی، لیزر یا جراحی ارجحیت دارد.
چرا درمانهای خانگی برای زگیل دهانی خطرناک هستند؟
شما ممکن است در اینترنت در مورد استفاده از سرکه سیب، سیر یا داروهای زگیل بدون نسخه (OTC) خوانده باشید.
هشدار جدی: هرگز از این روشها در داخل دهان خود استفاده نکنید.
-سوختگی شیمیایی: مخاط دهان شما بسیار نازکتر و حساستر از پوست دست است. استفاده از اسید (مانند سرکه یا داروهای سالیسیلیک اسید) باعث سوختگی شیمیایی شدید، زخمهای دردناک و عفونت در دهان شما میشود.
-تشخیص اشتباه: شما در حال درمان چیزی هستید که از ماهیت آن مطمئن نیستید. اگر ضایعه شما یک ضایعه پیش-سرطانی باشد و شما با دستکاری آن، زمان طلایی تشخیص را از دست بدهید، عواقب جبرانناپذیری خواهد داشت.