زگیل تناسلی در دهان یکی از مهمترین و در عین حال ناشناختهترین عوارض ابتلا به ویروس پاپیلومای انسانی است. بسیاری از افراد نمیدانند که این ویروس میتواند علاوه بر نواحی تناسلی، از طریق رابطه دهانی به داخل دهان، زبان، لثه، لبها و حلق نیز منتقل شود. در این مقاله از دکتر سمانه شیرانی بهطور کامل درباره تصویر، علائم، راههای تشخیص، درمان و پیشگیری از زگیل دهانی صحبت میکنیم.
زگیل تناسلی در دهان چیست؟
زگیل دهانی نوعی عفونت ویروسی است که توسط ویروس پاپیلومای انسانی ایجاد میشود. از بیش از ۱۰۰ نوع ویروس پاپیلومای انسانی، حدود ۴۰ نوع میتوانند ناحیه تناسلی و دهان را درگیر کنند. این زگیلها معمولاً در داخل دهان، روی زبان، لثه، کام نرم، لوزهها، لبها و در موارد پیشرفتهتر در گلو و حلق ظاهر میشوند.
این نوع زگیل از نظر پزشکی «عفونت اوروفارنکس با ویروس پاپیلومای انسانی» نامیده میشود. شایعترین انواعی که باعث زگیل دهانی میشوند تیپ ۶ و ۱۱ هستند که کمخطر محسوب میشوند، اما تیپ ۱۶ به عنوان عامل اصلی سرطان حلق و دهان شناخته شده است.
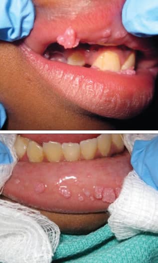
تصویر و شکل ظاهری زگیل تناسلی در دهان
زگیلهای دهانی در تصویر و معاینه بالینی ظاهری متفاوت دارند. برای شناخت بهتر این ضایعات، توصیف دقیق ویژگیهای ظاهری آنها ضروری است:
- رنگ: معمولاً همرنگ پوست، سفید، صورتی یا خاکستری است.
- شکل: ممکن است به شکل برجستگیهای کوچک و منفرد، خوشهای شبیه گل کلم، یا ضایعات مسطح دیده شوند.
- بافت: نرم، مرطوب و گاهی زبر.
- اندازه: از چند میلیمتر تا چند سانتیمتر متفاوت است.
- محل: روی زبان، داخل لبها، لثه، کام، لوزهها و ته حلق.
در بسیاری از موارد این زگیلها بدون علامت هستند و فرد مدتها بدون اینکه بداند ناقل ویروس است. به همین دلیل توجه به تصویر و ظاهر ضایعه اهمیت زیادی دارد، هرچند تشخیص قطعی حتماً باید توسط پزشک انجام شود.
علائم زگیل تناسلی در دهان

در اغلب افراد مبتلا، زگیل دهانی علامت خاصی ندارد. اما در صورت بروز نشانهها، میتوان به موارد زیر اشاره کرد:
- مشاهده برجستگیهای غیرعادی در دهان، زبان یا گلو
- درد یا ناراحتی هنگام بلع غذا
- خشونت یا تغییر در صدا
- سرفه مزمن بدون علت مشخص
- تغییر رنگ بافت دهان (قرمز، سفید یا تیره)
- احساس وجود جسم خارجی در گلو
- بزرگ شدن غدد لنفاوی گردن
- درد گوش بدون دلیل مشخص
اگر هر یک از این علائم بیش از دو تا سه هفته ادامه داشت، حتماً به متخصص گوش و حلق و بینی یا دندانپزشک مراجعه کنید.
بر اساس اطلاعات منتشر شده، بهطور میانگین از زمان قرار گرفتن در معرض ویروس تا ظهور زگیل در دهان، حدود سه تا شش ماه زمان میبرد. از آنجا که اغلب افراد علائمی ندارند، احتمال انتقال ناخواسته ویروس به دیگران بالاست. به نقل از: Cleveland Clinic
راههای انتقال زگیل تناسلی به دهان
اصلیترین راه انتقال زگیل تناسلی به دهان، رابطه جنسی دهانی محافظتنشده است. اما راههای دیگری نیز وجود دارد:
- رابطه جنسی دهانی با فرد آلوده به ویروس پاپیلومای انسانی
- بوسیدن عمیق با فرد آلوده (در موارد نادرتر)
- انتقال از مادر آلوده به نوزاد در هنگام زایمان طبیعی
- تماس دهان با پوست آلوده حتی بدون رابطه جنسی کامل
نکته مهم: ویروس میتواند حتی وقتی فرد آلوده هیچ زگیل قابل مشاهدهای ندارد، منتقل شود. این موضوع پیشگیری را پیچیدهتر میکند.
تفاوت آفت دهان با زگیل دهانی

آفت دهان یک زخم کوچک، گرد یا بیضیشکل با مرکز سفید یا زرد و حاشیه قرمز ملتهب است که درون دهان روی مخاط نرم (مثل داخل لب، گونه یا زیر زبان) ظاهر میشود. آفت دردناک است، معمولاً بدون هیچ درمانی در ۷ تا ۱۴ روز خودبهخود از بین میرود و هیچ علت عفونی ندارد؛ بلکه عوامل غیرعفونی مثل استرس، آسیب مکانیکی (گاز گرفتن داخل گونه)، کمبود ویتامین B12 یا آهن، و حساسیت غذایی آن را ایجاد میکنند. آفت دهان مسری نیست و از فردی به فرد دیگر منتقل نمیشود.
زگیل دهانی بر خلاف آفت، یک ضایعه عفونی است که توسط ویروس پاپیلومای انسانی (HPV) ایجاد میشود و از نظر ظاهری کاملاً متفاوت است؛ به شکل برجستگیهای سفید یا گوشتیرنگ با سطح ناهموار و زگیلمانند روی زبان، لبها، کام یا لوزهها دیده میشود. زگیل دهانی معمولاً بدون درد است و خودبهخود از بین نمیرود، بلکه نیاز به درمان پزشکی (لیزر، کرایوتراپی یا جراحی) دارد. مهمترین تفاوت این است که زگیل دهانی از طریق تماس مستقیم (بوسیدن یا رابطه جنسی دهانی) به دیگران منتقل میشود، در حالی که آفت کاملاً غیرمسری است.
تفاوت زگیل دهانی با تبخال و سایر ضایعات دهانی
یکی از مهمترین نکاتی که در مقالات رقیب به آن پرداخته نشده، تفاوت دقیق زگیل دهانی با سایر ضایعات مشابه است:
تبخال دهانی: ناشی از ویروس هرپس سیمپلکس است و به شکل تاولهای آبکی دردناک روی لبها ظاهر میشود. تبخال برخلاف زگیل دهانی معمولاً با سوزش و خارش شدید همراه است و در عرض دو هفته خود به خود بهبود مییابد.
فیبروم دهانی: برجستگیهای بدون علامت و همرنگ مخاط دهان هستند که ناشی از تحریک مکانیکی (مثلاً گاز گرفتن) بوده و مسری نیستند.
پاپیلوما دهانی: در ظاهر بسیار شبیه زگیل است اما لزوماً ناشی از ویروس پاپیلومای انسانی نیست. تشخیص قطعی با نمونهبرداری انجام میشود.
تشخیص زگیل تناسلی در دهان
پزشک معمولاً زگیل دهانی را از طریق معاینه بصری تشخیص میدهد. اما در موارد خاص، روشهای تکمیلی زیر به کار میروند:
-نمونهبرداری (بیوپسی): در ضایعات غیرمعمول، پیگمانه، زخمی یا مقاوم به درمان انجام میشود.
-آزمایش DNA ویروس: برای شناسایی نوع ویروس و تعیین میزان خطر سرطانی شدن.
-لارنگوسکوپی: برای بررسی ضایعات عمیقتر در حلق و حنجره.
-پاپ اسمیر: در زنان برای بررسی همزمان آسیبهای دهانه رحم.
هیچ آزمایش غربالگری استانداردی برای تشخیص ویروس پاپیلومای انسانی در دهان وجود ندارد. متخصصان سازمانهای پزشکی معمولاً غربالگری روتین دهانی را توصیه نمیکنند مگر در افراد پرخطر یا آنهایی که علائم دارند.
روشهای درمان زگیل تناسلی در دهان

درمان زگیل دهانی نسبت به زگیل تناسلی در نواحی دیگر پیچیدهتر است زیرا دسترسی به ضایعات سختتر بوده و داروهای موضعی معمول قابل استفاده نیستند. روشهای اصلی درمان عبارتند از:
درمان جراحی و فیزیکی
لیزر زگیل دهانی: یکی از مؤثرترین روشها برای از بین بردن زگیلهای دهانی است. لیزر دیاکسیدکربن دقت بالایی دارد و آسیب به بافت اطراف را به حداقل میرساند.
کرایوتراپی (انجماد) زگیل: استفاده از نیتروژن مایع برای از بین بردن بافت زگیل.
الکتروکوتر: سوزاندن زگیل با جریان الکتریکی.
جراحی زگیل: در زگیلهای بزرگتر یا زگیلهایی که به روشهای دیگر پاسخ نمیدهند.
درمان دارویی
-اسید تریکلرواستیک: محلولی است که بافت زگیل را میسوزاند و توسط پزشک در مطب اعمال میشود.
-ایمیکیمود: کرمی که سیستم ایمنی را تحریک کرده تا با ویروس مقابله کند. کاربرد آن در دهان محدود است.
نکته مهم: داروهایی مثل پودوفیلوکس برای درمان زگیل دهانی مناسب نیستند و نباید در دهان استفاده شوند. هیچ درمانی ویروس را از بدن حذف نمیکند و زگیلها ممکن است پس از درمان بازگردند.
بر اساس اطلاعات موجود، ویروس پاپیلومای انسانی عامل ۷۰ درصد از سرطانهای حلق و دهان در برخی کشورهاست و درمان زگیلهای تناسلی ویروس را از بدن حذف نمیکند؛ بنابراین زگیلها ممکن است پس از درمان بازگردند. به نقل از: CDC – Centers for Disease Control and Prevention
عوامل خطر ابتلا به زگیل دهانی
برخی عوامل احتمال ابتلا به زگیل دهانی را افزایش میدهند:
- داشتن شرکای جنسی متعدد
- سیگار کشیدن: دود سیگار زخمهای ریز در دهان ایجاد کرده و ورود ویروس را آسانتر میکند
- مصرف زیاد الکل
- سیستم ایمنی ضعیف (بیماران مبتلا به ایدز یا در حال درمان با داروهای سرکوبکننده ایمنی)
- سابقه ابتلا به سایر بیماریهای مقاربتی
- مردان بیشتر از زنان در معرض ابتلا به زگیل دهانی هستند
بازگشت زگیل دهانی پس از درمان
بازگشت زگیلهای دهانی پس از درمان امر شایعی است، بهویژه در سه ماه اول. دلیل اصلی آن این است که درمانهای موجود فقط ضایعات قابل مشاهده را از بین میبرند اما ویروس ممکن است در بافت باقی بماند. برای کاهش احتمال بازگشت:
- تمام دوره درمان را کامل کنید.
- از رابطه جنسی محافظتنشده خودداری کنید.
- سیستم ایمنی را با تغذیه مناسب و ورزش تقویت کنید.
- از استعمال دخانیات و الکل پرهیز کنید.
- بهطور منظم به پزشک مراجعه کنید.
ارتباط زگیل دهانی با سرطان

زگیلهایی که توسط تیپهای کمخطر ویروس (۶ و ۱۱) ایجاد میشوند، خطر سرطانی بسیار پایینی دارند. اما تیپ ۱۶ ویروس پاپیلومای انسانی که یک نوع پرخطر است، با سرطان حلق، لوزه، پایه زبان و لارنکس ارتباط مستقیم دارد.
علائم هشداردهندهای که باید فوری به پزشک مراجعه شود:
- برجستگی دردناک در دهان یا گلو که بعد از سه هفته برطرف نمیشود.
- تغییر رنگ بافت دهان به قرمز، سفید یا سیاه
- مشکل در بلع یا باز کردن دهان
- خونریزی غیرعادی در دهان
- بزرگ شدن غدد لنفاوی گردن بدون علت
سرطانهای مرتبط با ویروس پاپیلومای انسانی معمولاً پیشآگهی بهتری نسبت به سرطانهای غیرمرتبط با این ویروس دارند، اما تشخیص زودهنگام نقش کلیدی در موفقیت درمان دارد.
زگیل دهانی در کودکان
در موارد نادر، زگیل تناسلی از مادر آلوده به نوزاد در هنگام زایمان طبیعی منتقل میشود. در این حالت، زگیلها در حنجره نوزاد (گلوت نوزادی) ظاهر میشوند که به آن «پاپیلوماتوز راه هوایی مادرزادی» میگویند. این وضعیت میتواند باعث خشونت صدا، مشکل تنفس و نیاز به جراحی مکرر شود.
اگر مادری در دوران بارداری به ویروس پاپیلومای انسانی مبتلاست، باید حتماً با پزشک متخصص مشورت کند تا بهترین روش زایمان و مراقبت از نوزاد تعیین شود.
پیشگیری از ابتلا به زگیل تناسلی در دهان
مؤثرترین راههای پیشگیری عبارتند از:
- واکسیناسیون ویروس پاپیلومای انسانی: مؤثرترین روش پیشگیری. واکسن در دختران و پسران ۹ تا ۲۶ سال توصیه میشود. بر اساس راهنماییهای جدید، افراد ۲۷ تا ۴۵ ساله نیز ممکن است از این واکسن بهرهمند شوند.
- استفاده از کاندوم دندانی (Dental Dam) یا کاندوم در حین رابطه دهانی
- محدود کردن تعداد شرکای جنسی
- ترک سیگار و کاهش مصرف الکل
- تقویت سیستم ایمنی با تغذیه مناسب، خواب کافی و ورزش
- معاینه منظم دهان توسط دندانپزشک هر شش ماه یکبار
واکسن ویروس پاپیلومای انسانی و زگیل دهانی

واکسن ویروس پاپیلومای انسانی در سه نوع دوگانه، چهارگانه و نهگانه موجود است. نوع نهگانه (گاردازیل ۹) در برابر تیپهای ۶، ۱۱، ۱۶، ۱۸ و پنج تیپ دیگر محافظت میکند و مؤثرترین گزینه است.
واکسیناسیون قبل از شروع فعالیت جنسی بیشترین اثربخشی را دارد، اما تحقیقات نشان میدهد که حتی افرادی که قبلاً در معرض برخی انواع ویروس بودهاند نیز از واکسیناسیون بهرهمند میشوند زیرا واکسن از سایر تیپهایی که به آن آلوده نشدهاند محافظت میکند.
چه زمانی به پزشک مراجعه کنیم؟
در شرایط زیر بدون تأخیر به متخصص مراجعه کنید:
- مشاهده هرگونه برجستگی یا ضایعه غیرمعمول در دهان، زبان، لب یا گلو
- علائمی که بیش از دو تا سه هفته ادامه دارند
- سابقه رابطه دهانی محافظتنشده با فرد ناشناس
- تشخیص زگیل تناسلی در شریک جنسی
- سیستم ایمنی ضعیف ناشی از بیماری یا دارو
پزشک مناسب برای مراجعه میتواند متخصص گوش و حلق و بینی، دندانپزشک، متخصص پوست یا متخصص بیماریهای عفونی باشد.
نتیجهگیری
زگیل تناسلی در دهان عارضهای است که میتواند از طریق رابطه دهانی منتقل شود و در بسیاری از موارد بدون علامت است. آشنایی با تصویر و ظاهر این ضایعات، دانستن علائم هشداردهنده، تشخیص تفاوت آن با آفت و تبخال و آگاهی از روشهای درمان میتواند به تشخیص زودهنگام و مدیریت بهتر این بیماری کمک کند.
مهمترین اقدام پیشگیرانه، واکسیناسیون در سنین مناسب و استفاده از روشهای محافظتی در روابط جنسی است. در صورت مشاهده هرگونه ضایعه غیرطبیعی در دهان یا گلو، حتماً به پزشک متخصص مراجعه کنید تا تشخیص دقیق و درمان مناسب انجام شود.