مشاهده هرگونه تغییر در دهان، به خصوص یک برآمدگی سفید روی لثه، میتواند نگران کننده باشد. ذهن شما بلافاصله به سمت بدترین سناریوها، از جمله سرطان لثه، میرود. واقعیت این است: برآمدگی سفید روی لثه میتواند علل بسیار متنوعی داشته باشد؛ از یک تحریک ساده و بیخطر گرفته تا یک عفونت جدی یا یک ضایعه پیش سرطانی.
به عنوان یک متخصص، میخواهم به شما اطمینان دهم که بیشتر این ضایعات خوش خیم هستند. اما نادیده گرفتن آنها یا تلاش برای خود-تشخیصی قطعی، بزرگترین اشتباهی است که میتوانید مرتکب شوید.
در این راهنمای جامع، ما تمام علل احتمالی ایجاد لکه، توده یا برآمدگی سفید روی لثه، از بیخطرترین تا جدی ترین آنها را بررسی میکنیم و به شما میگوییم که هرکدام به چه درمانی نیاز دارند؟
جوش لثه (آبسه دندانی)

این یکی از شایع ترین دلایل برآمدگی سفید یا زرد رنگ روی لثه است، اما در واقع یک «جوش» نیست، بلکه یک «آبسه» است.
-ظاهر: شبیه به یک جوش چرکی، متورم، نرم و اغلب دردناک است. ممکن است در مرکز آن یک نقطه سفید (محل خروج چرک) دیده شود.
-علت چیست؟ «جوش لثه» یا آبسه، یک کیسه پر از چرک ناشی از عفونت باکتریایی است. این عفونت معمولاً از ریشه یک دندان پوسیده یا از یک بیماری لثه پیشرفته نشات میگیرد. این برآمدگی، در واقع تلاش بدن برای تخلیه چرک از محل عفونت است.
-درمان:
این یک اورژانس دندانپزشکی است. به هیچ وجه آن را نترکانید، زیرا باعث گسترش عفونت میشود.
درمان خانگی (مانند آب نمک) فقط درد را موقت تسکین میدهد.
درمان علمی: شما حتماً به دندانپزشک نیاز دارید. درمان شامل تخلیه آبسه، تجویز آنتی بیوتیک، و مهم تر از همه، درمان ریشه دندان (عصب کشی) یا کشیدن دندان عفونی است.
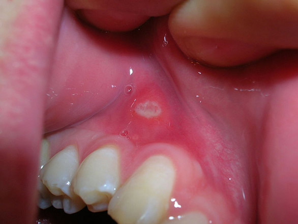
آفت دهان (Canker Sore)

آفت ها ضایعاتی بسیار دردناک اما کاملاً بیخطر هستند.
-ظاهر: یک زخم گرد یا بیضی شکل، کم عمق، با مرکز سفید یا زرد رنگ و یک «هاله» یا حاشیه قرمز روشن. آفت ها معمولاً «برآمده» نیستند، بلکه «زخمی» و گود هستند، اما افراد اغلب آنها را با برآمدگی اشتباه میگیرند.
-علت چیست؟ علت دقیق ناشناخته است، اما به ویروس ربطی ندارد. استرس، آسیب های فیزیکی (مسواک زدن خشن)، کمبود ویتامین (B12، آهن) و برخی غذاها میتوانند محرک باشند. آفت مسری نیست.
-درمان:
درمان خانگی: شستشو با آب نمک گرم، استفاده موضعی از عسل
درمان علمی: آفت ها خود به خود طی ۷ تا ۱۴ روز بهبود می یابند. برای تسکین سریع درد میتوان از ژل های بیحس کننده موضعی (لیدوکائین) یا پمادهای استروئیدی (تریامسینولون) استفاده کرد.
برفک یا قارچ لثه (Oral Thrush)

-ظاهر: لکه های سفید، کرمی یا پنیری شکل که میتوانند روی زبان، داخل گونه ها و همچنین روی لثه ها ایجاد شوند. برخلاف لکوپلاکیا، این لکه های سفید قابل خراشیدن و پاک شدن هستند. اما با پاک کردن آنها، یک سطح قرمز و گاهی خونریزی دهنده در زیر آن آشکار میشود.
-علت چیست؟ ناشی از رشد بیش از حد قارچی به نام «کاندیدا آلبیکنس» است (که کلمه «قارچ لثه» از آن می آید). این اتفاق معمولاً زمانی رخ میدهد که سیستم ایمنی ضعیف شده باشد (مثلاً در نوزادان، سالمندان، بیماران دیابتی، یا پس از مصرف آنتی بیوتیک یا داروهای استروئیدی).
درمان:
درمان خانگی: مصرف ماست پروبیوتیک
درمان علمی: درمان اصلی استفاده از داروهای ضد قارچ (مانند قطره نیستاتین یا قرص فلوکونازول) است که باید توسط پزشک تجویز شود.
لکوپلاکیا لثه (Leukoplakia)
–ظاهر: یک لکه یا پلاک سفید ضخیم روی لثه، زبان یا داخل گونه. برخلاف برفک، این لکه به هیچ وجه با خراشیدن پاک نمیشود. سطح آن ممکن است صاف یا زبر و «چرمی» شکل باشد.
-علت چیست؟ علت دقیق همیشه مشخص نیست، اما به شدت با مصرف تنباکو (سیگار، قلیان، جویدن تنباکو) و مصرف زیاد الکل مرتبط است. این یک واکنش بدن به تحریک مزمن است.
-درمان:
مهم ترین قدم: نمونه برداری (Biopsy). هیچ راهی جز نمونه برداری برای تشخیص قطعی خوش خیم یا بدخیم بودن آن وجود ندارد.
درمان علمی: قطع کامل تنباکو و الکل. بسته به جواب بیوپسی، پزشک ممکن است تصمیم به حذف ضایعه (با جراحی یا لیزر) بگیرد.
سرطان لثه (Gum Cancer)
-ظاهر: سرطان لثه (نوعی از سرطان دهان) میتواند در ابتدا خود را شبیه به لکوپلاکیا نشان دهد. یعنی یک لکه سفید یا قرمز (اریتروپلاکیا) که پاک نمیشود. با پیشرفت، ممکن است به یک «زخم» تبدیل شود که بهبود پیدا نمیکند، به راحتی خونریزی میکند، یا باعث لق شدن دندان های مجاور شود.
-علت چیست؟ جهش سلولی ناشی از عوامل خطر مانند تنباکو، الکل، و برخی انواع ویروس HPV.
-درمان:
سریعترین درمان: تشخیص زودهنگام.
درمان علمی: مشابه لکوپلاکیا، بیوپسی (نمونه برداری) حیاتی است. در صورت تایید سرطان، درمان شامل جراحی برای برداشتن تومور، و احتمالا رادیوتراپی یا شیمی درمانی خواهد بود.
سفید شدن لثه بعد از کشیدن دندان

این مورد در واقع یک «برآمدگی» نیست، اما یک «لکه سفید» بسیار شایع است که باعث نگرانی میشود.
-ظاهر: چند روز پس از کشیدن دندان، ممکن است متوجه یک لایه سفید یا زرد رنگ در محل زخم شوید.
-علت چیست؟ این معمولاً نشانه «بافت بهبودی» (Granulation Tissue) است. این بافت، پایه و اساس لثه و استخوان جدید است. این بخشی طبیعی از فرایند ترمیم است.
-درمان:
هیچ درمانی نیاز ندارد. به آن دست نزنید و بهداشت دهان را به آرامی رعایت کنید.
هشدار: اگر این لکه سفید با درد شدید، ضربان دار و بوی بد همراه بود، ممکن است نشانه «حفره خشک» (Dry Socket) باشد که نیاز به مراجعه مجدد به دندانپزشک دارد.
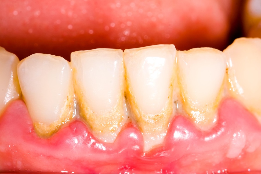
جرم سفید روی لثه (Tartar/Calculus)

این هم یک برآمدگی واقعی «روی» لثه نیست، بلکه یک تجمع «در پایه» لثه است.
-ظاهر: یک ماده سخت، زبر و گچی به رنگ سفید یا زرد که به دندان، درست در خط لثه یا کمی زیر آن چسبیده است.
-علت چیست؟ ناشی از سفت و معدنی شدن «پلاک» های میکروبی (جرم نرم) است که با مسواک تمیز نشده اند.
-درمان:
درمان خانگی: هیچ درمانی ندارد. مسواک، نخ دندان یا دهانشویه نمیتوانند جرم سفت شده را جدا کنند.
درمان علمی: تنها درمان، جرمگیری حرفه ای (Scaling) توسط دندانپزشک یا متخصص لثه است.
سریعترین درمان برآمدگی سفید روی لثه چیست؟
همانطور که خواندید، «برآمدگی سفید» میتواند ۸ علت کاملاً متفاوت داشته باشد. سریعترین درمان، «تشخیص صحیح» است. شما نمیتوانید با نگاه کردن در آینه تفاوت بین یک لکه برفک (که با ضد قارچ درمان میشود)، یک لکه لکوپلاکیا (که نیاز به بیوپسی دارد) و یک آبسه (که نیاز به عصب کشی دارد) را تشخیص دهید.
سریعترین درمان برای آبسه، مراجعه به دندانپزشک برای تخلیه و عصب کشی است.
سریعترین درمان برای برفک، دریافت نسخه داروی ضد قارچ است.
سریعترین درمان برای سرطان، نمونه برداری در اولین فرصت ممکن است.
تلاش برای درمان خانگی یک لکه سرطانی با آب نمک، یا نادیده گرفتن یک آبسه، میتواند عواقب جبران ناپذیری داشته باشد.
تشخیص دقیق برآمدگی سفید روی لثه
شما در گوگل جستجو کرده اید و اکنون میدانید که این برآمدگی سفید میتواند هر چیزی باشد، از یک آفت بیخطر تا یک لکه پیش-سرطانی. آیا میخواهید روی سلامت خود ریسک کنید؟ تشخیص ضایعات دهان، یک حوزه بسیار تخصصی است. اینجا دقیقا جایی است که یک متخصص بیماری های دهان، فک و صورت وارد میشود.
دکتر سمانه شیرانی، به عنوان متخصص بیماری های دهان، دقیقاً بر تشخیص و مدیریت همین ضایعات تمرکز دارند. ایشان آموزش دیده اند تا با یک معاینه بالینی دقیق، تفاوت های ظریفی که شما نمیبینید را تشخیص دهند:
آیا این لکه پاک میشود یا نه؟ (تفاوت برفک و لکوپلاکیا)
آیا این یک عفونت دندانی است یا یک ضایعه بافتی؟ (تفاوت آبسه و سرطان)
آیا این ضایعه نیاز به پیگیری دارد یا فقط باید به شما اطمینان خاطر داد؟